Winners of the Russian Foundation for Basic Research contest among leading young teams admit that they did not believe in their victory, as they thought they would not be highly estimated. However, research perspective and potential of authors were noted by the Foundation experts. And today we would like to introduce you this work.
Magnetic cells-cyborgs are being created in the laboratory for biological nanotechnologies and biological materials under supervision of the Doctor of Sciences in Biology, Ravil Fakhrullin, at Kazan Federal University. This research was backed up by the Russian Foundation for Basic Research.
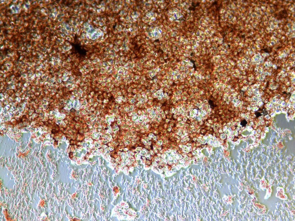
Mr. Fakhrullin told about their research. In English literature there is a special term “cell surface engineering”. This research specialty studies changes of the surface of living cells. They change it with the help of functional nanomaterials which allow modification or strengthening of useful features of cells or their possible combinations. Such nanomodified cells they call cells-cyborgs by analogue with movie heroes.
Researchers used magnetic microbic cells for developing biosensor systems. For this reason special nanoparticles were attached to cell walls and cells became sensitive to magnetism and acquired gravitation capacity to constant magnet. At that time researchers made up their minds to apply this method on human cells.
Currently tissular engineering is one of the most perspective specialties in biomedicine. Results of this research allow receiving new artificial tissues and even body organs for transplantation.
- What are the magnetic modified cells and how are they produced?
- We attach nanoparticles to the surface of membranes and they don`t penetrate into cells. In this way we almost avoid the possibility of negative impact on enzymes and genetic apparatus. As result magnetic “cells-cyborgs” are able to grow and divide as effectively as intact (source cells). In the framework of the Russian Foundation for Basic Research project we synthesize particles so they are able to be attached to cells. Consequently cells covered with nano particles act like microscopic magnets and they can be concentrated and kept in space with the help of an ordinary constant magnet. Today we use such living structures with additional features for producing artificial multi-layered clusters – tissue prototypes.
- It is necessary to have a group of specialists and good equipment to perform such complicated research. Do you have everything necessary?
- Our group is not a big one except for me it includes three researches – post-graduate student, master student and two students. Members of m group are specialists in the sphere of cell biology, physical and chemical methods of research and microscopy.
- Have you already performed any part of your project?
- The first part of the project is almost ready. We synthesized nano particles and determined their peculiar features. We made magnetic modification of isolated human cells. We chose model cells magnetized by nano particles. We defined experiment conditions for their optimal magnetization. Besides, we conducted researches on an assessment of toxicity of magnetic nanoparticles in relation to cells and found out that magnetic modification did not produce negative impact on their activity.
- What do you plan to make with the help of grant support?
- The grant of the Russian Foundation for Basic Research gave us the chance to conduct research using cultures of cells of mammals. Experiments in the field of cellular biology are very expensive. Expendables, reactants, nutrient media for maintenance ofhuman cells cultures are more expensive, than their analogues for microbic cells. Finances received from the grant will cover equipment experiments for studying the influence of nanoparticles on viability of cells. So, the Foundation gave essential support to our researches.
The second part of the project will be devoted to the creation of the multilayered multicellular clusters imitating human tissues.
- What are the perspectives of using the magnetic modified cells?
- The main objective of this project is to create methods for magnetization of human cells. It is important to be able to use it in our clinics. We consider our research results to become necessary to other groups of scientists working in this direction. The methods offered by us are universal, they can be used for any type of cells. This will allow applying magnetic "cyborgs" in designing bodies and tissues, directed delivery of "therapeutic" cells and also in a magnetic and resonance tomography.



