Biomedical Microscopy Center

The Center was founded at Department of Morphology and General Pathology IFMB in 2013.
With its cutting-edge facilities, the Center allows to conducting research studies in medicine and biology.

The Center includes:
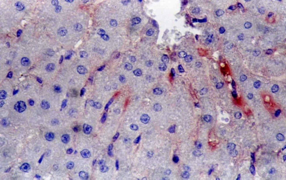
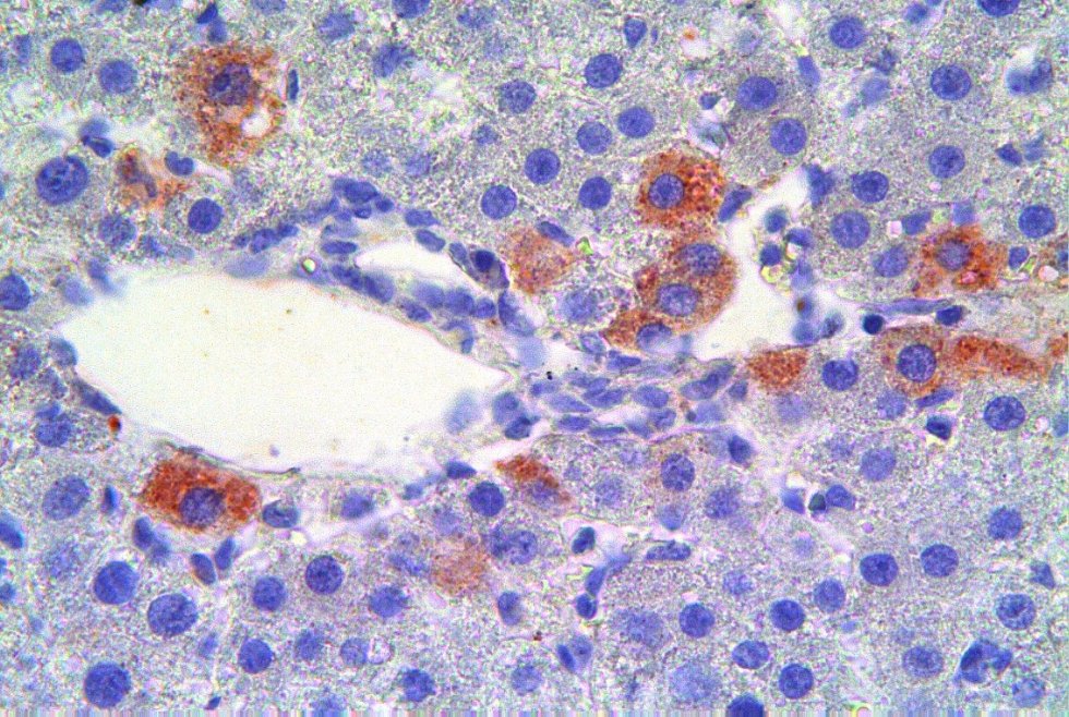
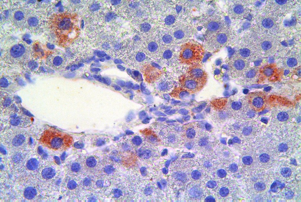
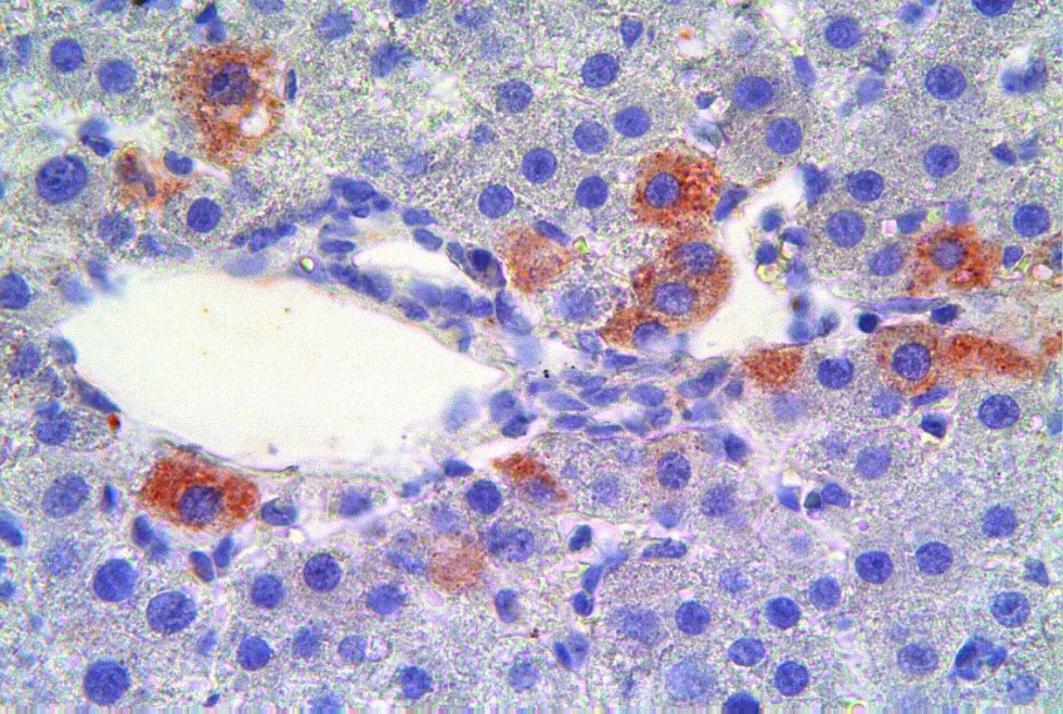
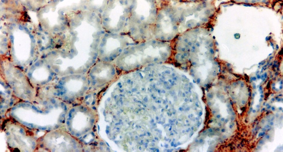
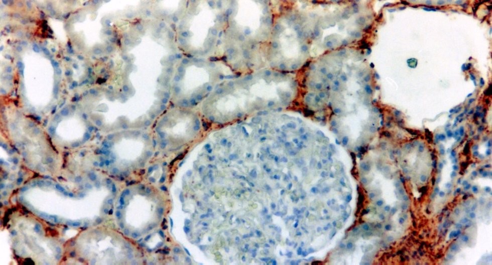
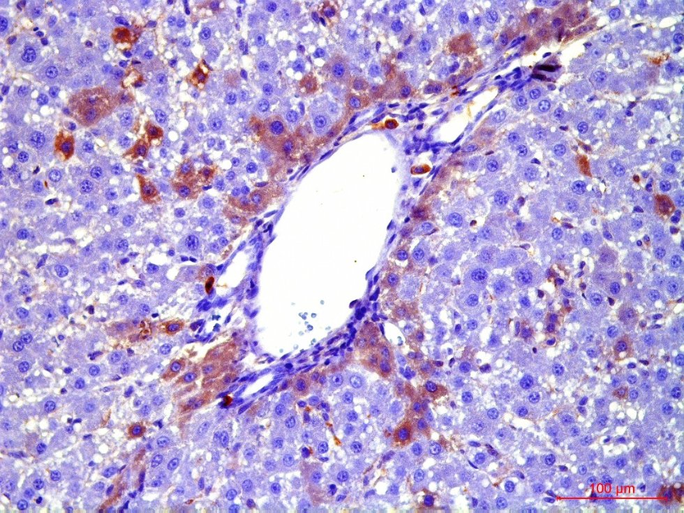
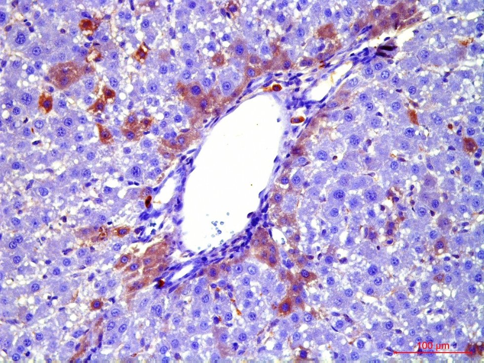
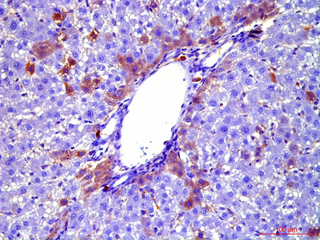
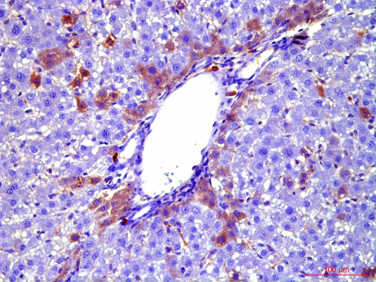
Biomedical Microscopy Center provides histological sampling, its further proceeding and marking, sectioning and histological, immunohistochemical and fluorescent stainings.
Cell Culture Lab is equipped with two laminar flow hoods, a CO2 incubator, system of receiving super pure reagent water ASTM I type, cryostorage, the autoclave, a low-temperature deep freezer.








