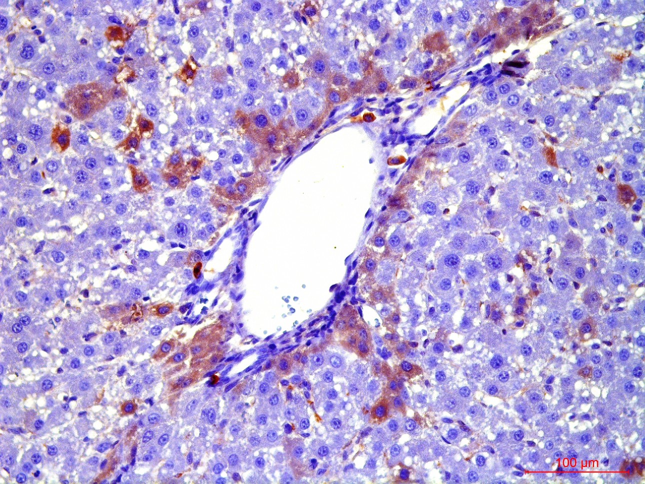
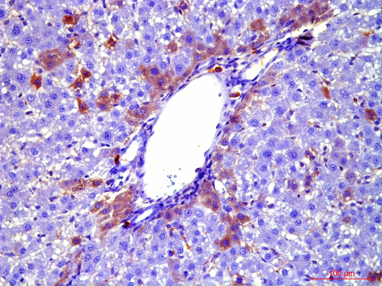
"Изучение фундаментальных механизмов пластичности и направленной дифференцировки звёздчатых клеток печени для разработки клеточной биомедицинской технологии восстановления гепатоцитов"
"Структурные основы регенерации поджелудочной железы"
"Изучение перинейрональных сетей центральной нервной системы в норме и при патологии"
"Нейро-мышечные заболевания: изучение патоморфогенеза, моделирование, разработка подходов к генно-клеточной терапии"
"Генная терапия для заживления дефектов кожи"
"Исследование молекулярных и межклеточных взаимодействий в ходе раннего этапа репаративного остеогистогенеза при травматическом повреждении костей"
ФОТООТЧЕТ
Для улучшения работы сайта и его взаимодействия с пользователями мы используем файлы cookie. Продолжая работу с сайтом, Вы разрешаете использование cookie-файлов. Вы всегда можете отключить файлы cookie в настройках Вашего браузера.