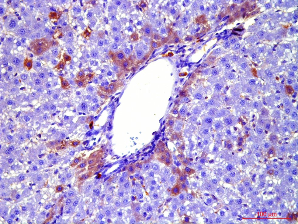
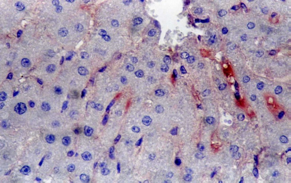
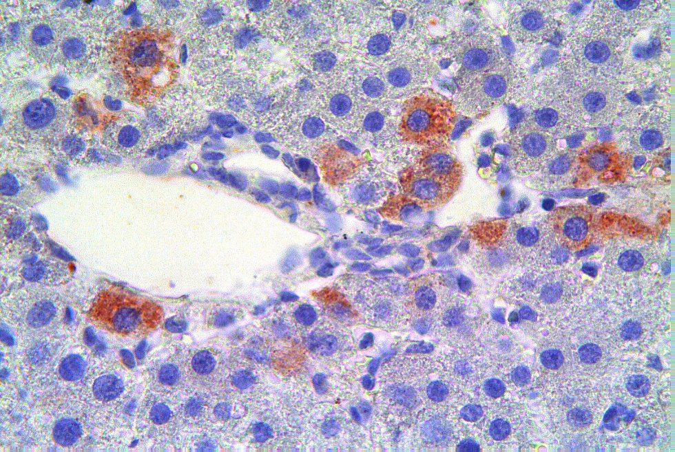
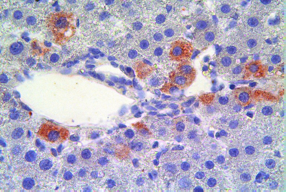
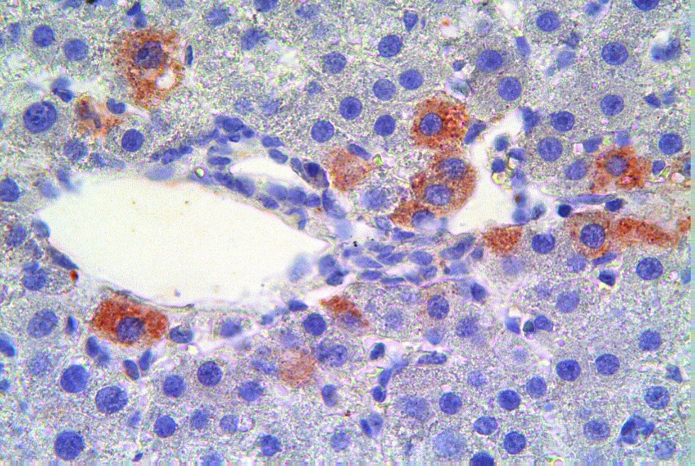
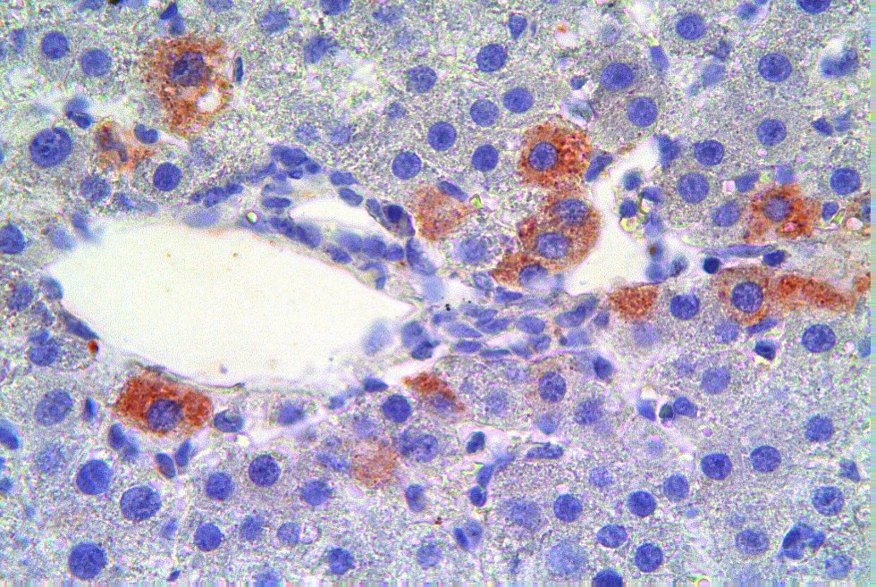
Кафедральная лаборатория биомедицинской микроскопии основана при кафедре морфологии и общей патологии ИФМиБ КФУ в 2013 году.
Лаборатория оснащена СОВРЕМЕННЫМ ОБОРУДОВАНИЕМ, которое позволяет проводить научные исследования в области медицины и биологии.
Пространство лаборатории и оборудование разделены на функциональные блоки-лаборатории, позволяющие одновременно решать разные задачи:
Сотрудники нашей кафедры активно участвуют в НАУЧНЫХ ПРОЕКТАХ и регулярно публикуют РЕЗУЛЬТАТЫ НАУЧНЫХ ИССЛЕДОВАНИЙ
|
|







