(рук. к.м.н., доц. Р.В. Деев, д.м.н., проф. А.А. Ризванов, д.м.н., проф. А.П. Киясов)
Межрегиональный проект по изучению нейро-мышечных заболеваний, включает в себя исследователей из Казани, Санкт-Петербурга, Москвы, Рязани, Махачкалы. Проект направлен на изучение различных научных аспектов, связанных с заболеваниями скелетных мышц, как врожденных, так и приобретенных. Научная работа включает клиническую часть, направленную на разработку методов клинико-лабораторной, патоморфологической, молекулярно-генетической диагностики нейро-мышечных заболеваний, а также лабораторную часть, включающую в себя моделирование, изучение молекулярных основ и поиск подходов к лечению нейро-мышечных заболеваний.
Исследование поддержано грантом РНФ №14-15-00916 (2014-16)
Рассказ об экспедиции научной группы в Дагестан
Результаты проекта:
- описан первый в России и второй в мире случай редкой формы генетического заболевания – поясно-конечностной мышечной дистрофии 2Q. Произведен клинико-лабораторный, генетический анализ с использованием полно-экзомного метода секвенирования нового поколения, произведен подробный патогистологический анализ.
- описана многолетнее течение поясно-конечностной мышечной листрофии 2В в ходе научной экспедиции в горный Дагестан.
- получены данные о цитокиновом профиле пациента с дисферлинопатией.
- получены комплексные данные о патоморфологии поперечно-полосатой мышечной ткани при хронической ишемии, разработаны основы генной и генно-клеточной терапии данного заболевания.
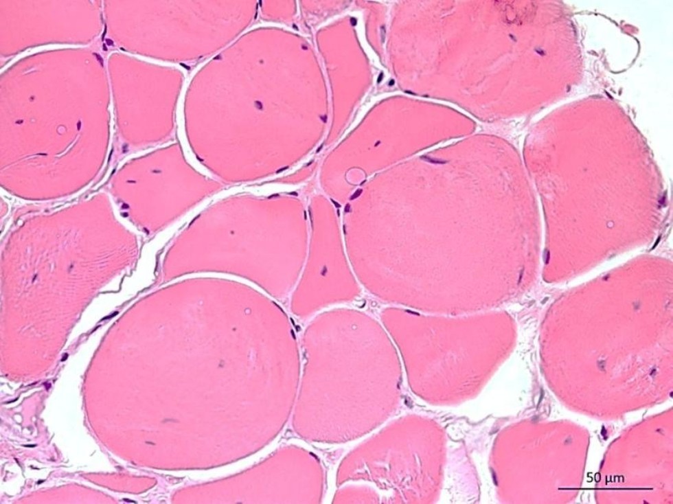
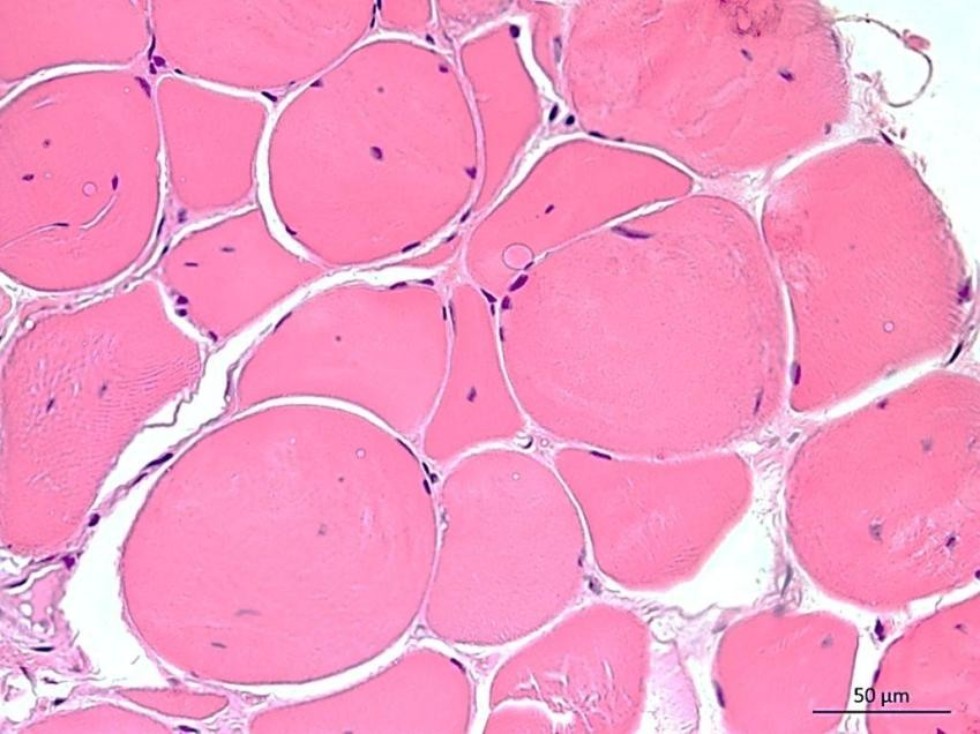
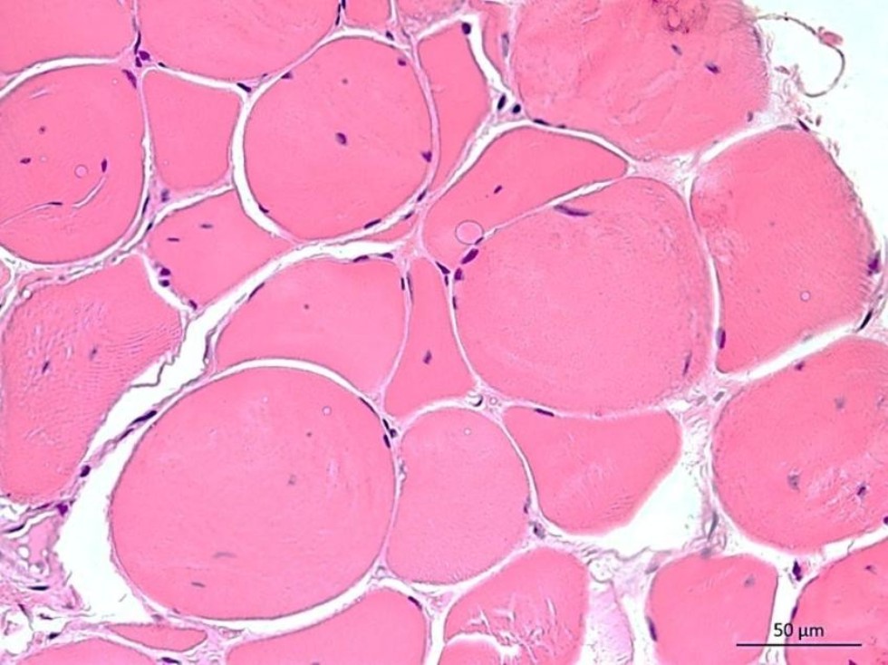
-произведен сравнительный гистологический анализ мышечной ткани у мышей Bla/J (со сниженной экспрессией dysf) и C57Bl/6 (контроль) на разных сроках постнатального онтогенеза (с 1 суток до 15 месяцев). Полученные данные свидетельствуют о прогрессирующем снижении регенеративной активности мышечной ткани у мышей Bla/6 с первых месяцев жизни в то время как состояние мышечной ткани у C57Bl/6 остается стабильным на всех исследованных этапах онтогенеза
- произведено сравнение мышечной ткани у мыши после трансдукции вирусовм pAd5-DYSF и контрольной мыши линии Bla/J. Полученные данные о пролиферативной активности, миогенной дифференцировки, доле некротизированных мышечных волокон и содержания соединительной ткани показывают положительный эффект pAd5-DYSF на регенерацию мышечной ткани. Предварительные результаты показывают, что введение Ad5-Dysf усиливает активность рабдомиогенеза in vivo и может быть использовано в качестве потенциальной генной терапии дисферлинопатий
- установлено, что введение мезенхимальных стволовых клеток жировой ткани, трансдуцированных VEGF165 и VEGF165+SDF1A, способствует восстановлению кровотока в ишемизированной конечности оперированных экспериментальных животных, более активной регенерации мышечных волокон и меньшем фиброзе мышечной ткани, увеличении количества сосудов. Предполагается ангиогенная и миогенная дифференцировка введенных клеток, а также паракринное влияние клеток, сверхэкспрессирующих ростовые факторы сосудов.
Исполнители проекта: Мавликеев М.О., Чернова О.Н., Титова А.А., Яковлев И.А., Соловьева В.В., Старостина И.Г., Зейналова А.К.
Публикации по результатам проекта:
- Deev R.V. Glu20Ter Variant in PLEC 1f Isoform Causes Limb-Girdle Muscle Dystrophy with Lung Injury / R.V. Deev, S.N. Bardakov, M.O. Mavlikeev, I.A. Yakovlev, Z.R. Umakhanova, P.G. Akhmedova, R.M. Magomedova, I.A. Chekmaryeva, G.D. Dalgatov, A.A. Isaev // Front Neurol.- 2017.- V.31(Jul).- P.1-7
- Khaiboullina S.F. Serum Cytokine Profile in a Patient Diagnosed with Dysferlinopathy / S.F. Khaiboullina, E.V. Martynova, S.N. Bardakov, M.O. Mavlikeev, I.A. Yakovlev, A.A. Isaev, R.V. Deev, A.A.Rizvanov // Case Rep Med.- 2017.- V.2017.– P.1-5
- Mavlikeev M. Histopathological analysis of skeletal muscle biopsy of patient with peripheral arterial disease before and after peripheral blood stem cells intramuscular injection / M. Mavlikeev, M. Plotnikov, A. Maximov, A. Murtazin, G. Gafiatullina, A. Titova, I. Gazizov, R. Deev, A. Gumerova, A. Kiyasov // BioNanoScience. - 2017. - V. 7(1). - P. 186-188.
- Umakhanova Z.R. Twenty-Year Clinical Progression of Dysferlinopathy in Patients from Dagestan / Z.R. Umakhanova, S.N. Bardakov, M.O. Mavlikeev, O.N. Chernova, R.M. Magomedova, P.G. Akhmedova, I.A. Yakovlev, G.D. Dalgatov, V.P. Fedotov, A.A. Isaev, R.V. Deev // Front Neurol. - 2017 V.8(Mar).- P.1-7.
- Корсаков И.Н. Влияние аутологичных клеток альвеолярной десны, обладающих миогенным потенциалом, на регенерацию экспериментального повреждения скелетной мышечной ткани / И.Н. Корсаков, Д.П. Самчук, А.А. Пулин, М.О. Мавликеев, О.Н. Чернова, А.А. Титова, Р.В. Деев, И.Я. Бозо, В.Л. Зорин, И.И. Еремин, О.В. Денисова, А.С. Карпухина, А.Ю. Городков, К.В. Котенко, П.Б. Копнин // Гены и Клетки.- 2017.- 12(2).- С. 71-81
- Мавликеев М.О. Cовременные методы исследования ангиогенеза в клинической практике / М.О. Мавликеев, А.А. Титова, Д.О. Гудз, Р.В. Деев // Наука молодых - Eruditio Juvenium. - 2017.- Т. 5(1).- С. 110-123.
- Титова А.А. Гистологическая оценка патологических изменений в икроножной мышце при моделировании ишемии задних конечностей у крыс / А.А. Титова, М.О. Мавликеев, Г.О. Певнев, А.И. Билялов, М.С. Абызова, А.А. Латышев, Д.И. Сахапов, А.К. Шафигуллина, Р.В. Деев, А.П.Киясов // Казанский медицинский журнал. - 2017. - Т. 98. - № 1. - С. 73-76.
- Chernova O.N. Effects of Ad5-DYSF transduction on skeletal muscles of dysferlin-deficient mice / O.N. Chernova, A.A. Titova, M.O. Mavlikeev, I.A. Yakovlev, A.K. Zeynalova, M.S. Kaligin, A.A. Rizvanov, A.P. Kiyasov, R.V. Deev // HUMAN GENE THERAPY. - 2017. - V.28. - A56
- Korsakov I. N. Effects of autologous gingiva-derived multipotent mesenchymal stromal cells with myogenic potential on regeneration of experimental acute muscle injury / I. N. Korsakov, A. A. Pulin, I. I. Eremin, V.L. Zorin, R.V. Deev, I.Y. Bozo, D.P. Samchuk, M.O. Mavlikeev, O.N. Chernova, A.Y. Gorodkov // CYTOTHERAPY. - 2017. - V.19(5). - P.S132-S133.
- Mavlikeev M. Multiplex analysis of skeletal muscles after intramuscular injection of adipose-derived mesenchymal stem cells transduced with LV-VEGF165 and LV-SDF1A in rat hindlimb ischemia model / M. Mavlikeev, A. Titova, E. Martynova, A. Shafigullina, E. Garanina, O. Chernova, G. Pevnev, A. Gumerova, A. Rizvanov, A. Kiyasov // European Journal of Clinical Investigation. – 2017. – Vol. 47, Issue Supplement S1. - P. 131-132.
- Titova A.A. Histopathological analysis of skeletal muscles after injection of adipose-derived mesenchymal stem cells transduced with LV-VEGF165 and LV-SDF1A / A.A. Titova, M.O. Mavlikeev, E.E. Garanina, G.O. Pevnev, M.A.Titova, A.A. Rizvanov, A.P. Kiyassov // European Journal of Clinical Investigation. – 2017. – Vol. 47, Issue Supplement S1. - P. 131-132.
- Titova A.A. The influence of intramuscular injection of genetically modifiedmadipose-derived mesenchymal stem cells on skeletal muscle regeneration in rat hindlimb ischemia model / A.A. Titova, M.O. Mavlikeev, E.V. Martynova, A.K. Shafigullina, E.E. Garanina, O.N. Chernova, G.O. Pevnev, A.A. Gumerova, A.A. Rizvanov, A.P. Kiyasov // HUMAN GENE THERAPY. - 2017. - V.28. - A41
- Гудз Д.О. Влияние плазмидной конструкции, несущей ген vegf165, на состояние скелетной мышечной ткани в модели травмы периферического нерва / Д.О. Гудз, М.О. Мавликеев, Р.Ф. Масгутов, Г.А. Масгутова, И.Л. Плакса, А.А. Ризванов, Р.В. Деев // Актуальные вопросы фундаментальной, экспериментальной и клинической морфологии: материалы Всероссийской конференции молодых специалистов; под ред. Р.В. Деева; ФГБОУ ВО РязГМУ Минздрава России. – Рязань: ООП УИТ-ТиОП, 2017. – С.71-73
- Мавликеев М.О. Поиск морфологических критериев оценки результатов генно-клеточной терапии хронических облитерирующих заболеваний артерий нижних конечностей / М.О. Мавликеев, М.В. Плотников, А.В. Максимов, А.И. Муртазин, Г.Р. Гафиятуллина, А.А. Титова, М.С. Абызова, Д.И. Сахапов, А.А. Гумерова, Р.В. Деев, А.П. Киясов / Материалы III Национального конгресса по регенеративной медицине (Москва, 15-18 ноября 2017 года). Гены и Клетки.- 2017.- 12(3).- С. 151
- Титова А.А. Оценка влияния генетически модифицированных мезенхимальных стволовых клеток на регенерацию скелетных мышц при модели хронической ишемии мышц задней конечности у крыс. / А.А. Титова, М.О. Мавликеев, Е.В. Мартынова, А.К. Шафигуллина, Е.Е. Гаранина, О.Н. Чернова, Г.О. Певнев, А.А. Гумерова, А.А. Ризванов, А.П. Киясов // Материалы III Национального конгресса по регенеративной медицине (Москва, 15-18 ноября 2017 года). Гены и Клетки.- 2017.- 12(3).- С. 243
- Чернова О.Н. Влияние рекомбинантного аденовируса Ad5-Dysf на скелетную мышечную ткань у дисферлин-дефицитных мышей BlaJ / О.Н. Чернова, М.О. Мавликеев, И.А. Яковлев, А.А. Титова, В.В. Соловьева, И.Г. Старостина, А.К. Зейналова, М.С. Калигин, А.А. Ризванов, А.П. Киясов, Р.В. Деев // Актуальные вопросы фундаментальной, экспериментальной и клинической морфологии: материалы Всероссийской конференции молодых специалистов; под ред. Р.В. Деева; ФГБОУ ВО РязГМУ Минздрава России. – Рязань: ООП УИТ-ТиОП, 2017. – С.98
- Чернова О.Н. Оценка регенерации скелетной мышечной ткани у мышей линии Bla/J после трансдукции рекомбинантным аденовирусом Ad5-DYSF / О.Н. Чернова, М.О. Мавликеев, И.А. Яковлев, В.В. Соловьева, И.Г. Старостина, А.А. Титова, А.К. Зейналова, М.С. Калигин, А.А. Ризванов, А.П. Киясов, Р.В. Деев // Материалы III Национального конгресса по регенеративной медицине (Москва, 15-18 ноября 2017 года). Гены и Клетки.- 2017.- 12(3).- С. 261
- Зорин В.Л. Возможности клинического применения клеток с миогенным потенциалом / В.Л. Зорин, А.И. Зорина, О.С. Гринаковская, А.А. Пулин, И.Н. Корсаков, М.О. Мавликеев, П.Б. Копнин, Р.В. Деев, Д.А. Тимашков, Н.К. Витько, И.И. Еремин // Клиническая и экспериментальная морфология. - 2016. - № 1 (17). - с.52-63
- Chernova O. N., Titova A. A., Mavlikeev M. O., Characterization of model for study of skeletal muscles regeneration in dysferlin-deficient mice//HUMAN GENE THERAPY. - 2016. - Vol.27, Is.11. - P.A144-A145.
- Mavlikeev M. O., Shafigullina A. K., Titova A. A., Adenoviral transduction of adipose-derived mesenchymal stem cells with vegf165 and fgf2 promotes their survival after intramuscular injection in rat hindlimb ischemia model//HUMAN GENE THERAPY. - 2016. - Vol.27, Is.11. - P.A103-A104.
- Mavlikeev M. O., Titova A. A., Sakhapov D. I., Combination of vegf165 and sdf1a genes stabilizes angiogenic effect in hindlimb ischemia model in rats//HUMAN GENE THERAPY. - 2016. - Vol.27, Is.11. - P.A104-A104.
- Чернова О.Н. Экспериментальные модели для изучения регенерации поперечнополосатой скелетной мышечной ткани / О.Н. Чернова, И.Н. Корсаков, Д.П. Самчук, А.А. Пулин, М.О. Мавликеев, Р.В. Деев, И.И. Еремин // Гены и клетки. - 2015. - №4. - С.127-140.
- Деев Р.В. Генно-клеточная терапия наследственных заболеваний мышечной системы: современное состояние вопроса // Р.В. Деев, М.О. Мавликеев, И.Я. Бозо, А.А. Пулин, И.И. Еремин // Гены & клетки. - 2014. - Том IX, - № 4, - С. 6-33.